
Manhattan: 929-930-2431
Riverdale: 929-709-0179


Parents of teens (35-55): Let your teenager receive expert care that fits a busy family schedule.
Adults (25-45): Achieve the discreet Invisalign treatment you want, without compromising your professional appearance.
College students & young adults (18-25): A confident smile before the next significant chapter - quick, easy, effective.
Parents of younger children (30-45): Early evaluation means fewer surprises later and stronger long-term results.

We offer virtually invisible aligners that let you straighten your smile without disrupting your lifestyle - comfortable to wear, easy to remove, and backed by digital precision for effective results.
Whether you choose traditional metal braces or discreet ceramic ones, our advanced systems deliver consistent, reliable correction - combining durability with aesthetic sensitivity to match your goals.
By blending the aesthetic freedom of aligners with the precision of braces, our hybrid approach offers a customised path that adapts to your needs, maximising efficiency, comfort, and outcome.
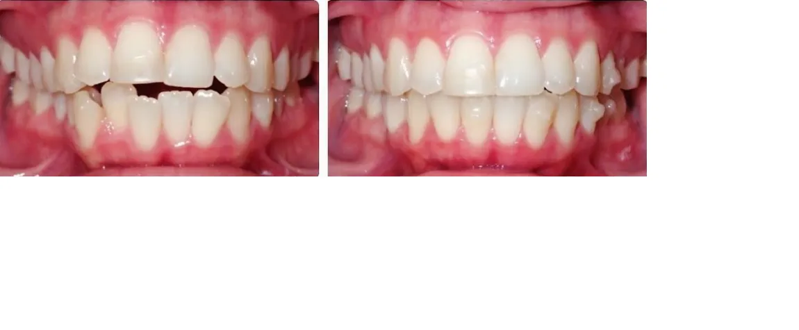
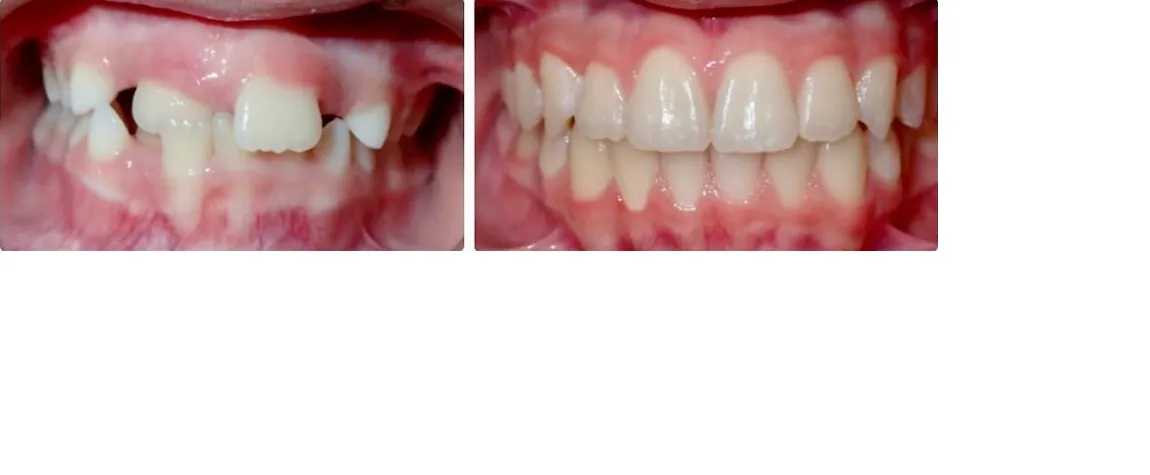
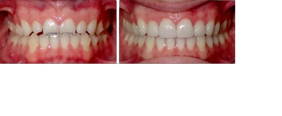
Dr. Goodman is a nationally recognised Diamond-Plus Invisalign® provider, placing him in the top 1% of Invisalign practitioners. With award-winning credentials, a tech-forward practice and a patient-first philosophy, Dr. Goodman ensures your treatment is precise, comfortable and aligned with your life—not just your smile.

Real Stories from Happy Patients
"I went to a lot of consults before landing on an Invisalign provider. I am so thrilled I went with Goodman Orthodontics. My teeth look absolutely amazing! The experience was so easy and pleasant."
- Mollie K.

"Dr. Goodman is amazing! He has extremely solid expertise in orthodontics and is really patient and friendly! He leveraged multiple paths to make my teeth and bite look MUCH BETTER! Super happy with the results! Highly recommend Dr. Goodman and his team!"
- KM Marcus

"Dr. Goodman has an excellent bedside manner that puts me at ease. He takes the time to thoroughly explain the treatment plan. His enthusiasm and expertise makes me glad I chose his practice"
- Gilianny Jimenez




Get In Touch
Hours
Sunday – CLOSED
